ASCUS

ASCUS nedir?
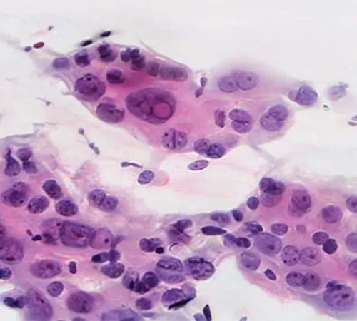
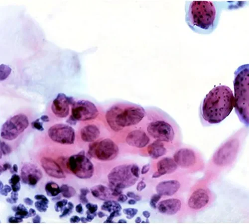
ASCUS, Atipik Skuamöz Hücrelerin Belirsiz Anlamı (Atypical Squamous Cells of Undetermined Significance) anlamına gelir ve rahim ağzından alınan örneklerin mikroskop altında incelenmesi ile tanınır. Bu sonuç, örnekteki hücrelerin normalden biraz farklı olduğunu, ancak anormalliğin nedeninin belirsiz olduğunu ifade eder.
Smear testinde ASCUS ne demek?
Smear testinde ASCUS bulgusu, testte incelenen hücrelerin normal olmadığı, ancak bu anormalliğin tam olarak neyi gösterdiğinin belirsiz olduğu anlamına gelir. Bu anormallik basit bir enfeksiyona da bağlı olabilir, HPV virüsüne de bağlı olabilir.
ASCUS çıkan bir kişi ne yapmalı?
ASCUS çıkan hastay HPV testi yapmak gerekir. Eğer HPV testi negatif çıkarsa, rutin smear testlerine devam edilir. Yüksek riskli HPV türlerinden birisi pozitif çıkarsa, daha ayrıntılı inceleme için kolposkopi yapmak gerekir. Düşük riskli HPV türlerinden birisinin pozitif çıkması halinde yıllık rutin kontrollere devam edilir.
ASCUS ve HPV arasında bir ilişki var mıdır?
Evet, ASCUS, HPV enfeksiyonunun bir belirtisi olabilir. HPV, rahim ağzında hücre değişikliklerine neden olabilir ve bu durum, smear testinde ASCUS sonucu olarak görülebilir.
ASCUS çıktıysa ne yapmalıyım?
Normal şartlarda ASCUS sonucu çıkan bir hastaya öncelikle antibiyotik tedavisi verilir ve 7-10 gün süren antibiyotik tedavisi sonrası tekrar smear alınır. Eğer tekrar ASCUS çıkarsa bu sefer HPV Testi alınır. Ancak biz 7-10 günlük stresli bir dönem geçirmemek için ASCUS sonucu çıkan hastalarda HPV Testini hemen başlangıçta yapıyoruz.
ASCUS kansere dönüşebilir mi?
ASCUS tek başına kansere dönüşmez. Ancak, ASCUS sonucu olan bir kişide yüksek riskli HPV enfeksiyonu tespit edilirse, hasta yapılması gereken kontrolleri ihmal ederse, bu durum 10-15 yıl rahim ağzı kanserine dönüşebilir.
ASCUS Tedavisi
ASCUS'un tedavisi var mıdır?
ASCUS genellikle direkt bir tedavi gerektirmez. Doktorunuz genellikle belirli bir süre boyunca takip eder ve durumun ilerleyip ilerlemediğini gözlemler.
ASCUS, gebeliği engeller mi?
Hayır, ASCUS gebeliği engellemez. Ancak, HPV ile enfekte olmuş bir kişi, HPV' yi doğum sırasında çocuğuna geçirebilir.
ASCUS çıktıktan sonra neler olabilir?
ASCUS sonucu çıkan hastalar, antibiyotik sonrası tekrar değerlendirildiğinde son tanı en sık olarak squamoz metaplazi ve HPV ile ilişkili lezyonlar çıkar. Sonucu ASC-US çıkan hastalar kendi haline bırakılırsa %68’ i normale döner, %7’ si HSIL' e ilerler, %0,25'i ise kansere dönüşür.
Siğil Tedavi Merkezi Olarak biz nasıl bir yol izliyoruz?
Siğil Tedavi Merkezi olarak, ASCUS sonucu elde edilen smear testi bulgularında, hastalarımıza gereksiz stres yaşatmamak adına erken dönemde "HPV Testi" uygulamayı tercih ediyoruz. Eğer HPV testi sonucu negatif gelirse, bu durum servikste inflamasyon ya da enfeksiyonun ASCUS sonucuna yol açtığını anlıyoruz. Bu durumda enfeksiyon için uygun tedaviyi uygulayarak hastayı rahatlatıyoruz.Eğer HPV testi sonucunda düşük riskli bir HPV türü, örneğin HPV 6 veya HPV 11, tespit edilirse, bu durumda da rahatlıyoruz. Bu bulguya istinaden HPV tedavisini planlıyor ve hastayı bir yıl sonra kontrol için çağırıyoruz.Fakat HPV testi sonucunda yüksek riskli bir HPV tipi, örneğin HPV 16, HPV 18, HPV 31 ya da HPV 33 tespit edilirse, o zaman daha detaylı bir inceleme için kolposkopi işlemine geçiyoruz.Siğil Tedavi Merkezi olarak yaptığımız HPV Testi ile tüm HPV tiplerini tespit edebilmekte ve gerekli durumlarda kolposkopi işlemi uygulamaktayız.Eğer smear testi sonucunuzda ASCUS bulgusu tespit edildiyse, 0505 260 72 38 ve 0850 490 14 78 numaralı telefonlardan bize ulaşabilir, HPV Testi ve Kolposkopi işlemlerinin fiyatları hakkında detaylı bilgi alabilirsiniz.
Arama Terimleri
ASCH Nedir?