ASCH

ASCH Nedir?
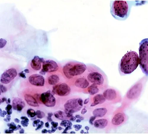
ASCH hücrelerin anormal göründüğünü ve "yüksek dereceli" lezyonlar olabileceğini, ancak tamamen kesin olmadığını belirtir. Pap smear testi sonucunda görülebilen bir bulgudur. Bu sınıflandırma endişe vericidir ve genellikle daha ciddi durumların, rahim ağzı öncül kanser veya kanserin erken göstergesi olabilir.
ASCH Sonucu Sonrası Ne Olur?
Pap smear'da ASCH sonucu çıkarsa, anormal hücrelerin nedenini belirlemek için genellikle kolposkopi yapmak gerekir. Kolposkopi, özel bir mikroskop ile rahim ağzını incelemek ve gerekirse biyopsi (doku örneği) almak için uygulanan bir prosedürdür.
Eğer ASCH, yüksek riskli HPV ile bağlantılı ise biyopsi almak gerekir. Sonuç olarak, ASCH, Pap smear testinin potansiyel ciddi bir sonucudur ve olası yüksek dereceli lezyonları gösterir.
ASCH Kanser Riski Nedir?
Eğer smear testi sonucu ASCH çıkar ve bu hastaya kolposkopi eşliğinde biyopsi uygulanırsa, bu durumun rahim ağzı kanseri sonuçlanma ihtimali %2,6'dır.
ASCH ASCUS’dan Kötü mü?
Evet ASCH ASCUS ‘a göre daha risklidir. Şu şekilde ifade edebiliriz. HPV testinde yüksek riskli HPV tespit edilen ve smear sonucunda ASCUS bulunan hastalar için, biyopsi ile alınan örneğin kanser sonucu verme olasılığı %0.41'dir. Eğer hastada smear testi sonucu ASCH çıkar ve bu hastaya kolposkopi ile beraber biyopsi uygulanırsa, bu durumun rahim ağzı kanseri sonucunu verme ihtimali ise %2.6'dır. Yani risk 6 kat daha fazladır.
Arama Terimleri
CIN 1,2,3 Nedir?